Dev Dental care

Oral Implantology

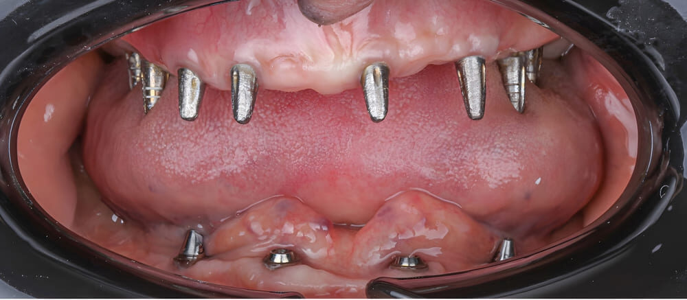
Restore Your Smile Permanently with Dental Implants

The importance of oral implantology for lasting dental health and confident smiles

Oral implantology offers a permanent solution for missing teeth, restoring not only your smile but also the full function of your mouth. With advanced dental implants, you can chew, speak, and smile with complete confidence.

This modern treatment helps preserve jawbone structure, prevents facial sagging, and eliminates the discomfort of removable dentures  giving you a natural look and feel that lasts a lifetime.

Advantages :

Opening Hours

Years of Experience
0 +
Trusted dental care backed by 15+ years of expert experience for healthy, beautiful smiles
Why Choose Us

Why Choose DEV Dental Care in Ahmedabad – Expert Solutions for Your Perfect Smile

Our clinic is equipped with cutting-edge technology to deliver effective and efficient treatments. Whether you need a routine checkup, orthodontic care, dental implants, or smile enhancements, we provide expert solutions for all your dental concerns.

Experienced Team

Dr. Alap Shah, with extensive experience in treating complex dental issues, ensures the highest quality care for all patients.

Advanced Techniques

From clear aligners to dental implants, we use the latest techniques to offer non-invasive, effective solutions.

Patient-Centric Care

We take pride in offering personalized dental treatments that focus on the unique needs of each individual.

Comfortable Environment

Our clinic is designed to provide a welcoming, relaxed atmosphere where you can receive dental care with peace of mind.

Lets Take Care Of Your Smile

Enhance your confidence with expert dental care for a brighter, healthier smile.

Consultation

Book a consultation to explore your treatment options with Dr. Alap Shad.

Need Help?

Our team is ready to assist with any questions or concerns.

Flexible Payment Plans

Explore flexible payment options to suit your budget.

Testimonial

Patient Testimonials & Reviews