- Home
- Orthodontic Dentistry
Orthodontic Dentistry
Straighten Your Smile with Advanced Orthodontic Care
The importance of orthodontic dentistry for perfectly aligned teeth and a confident smile
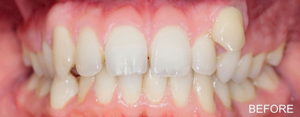
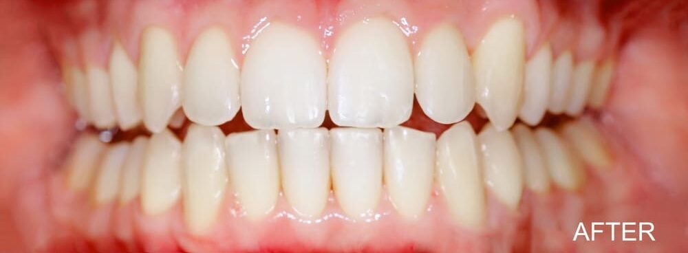
Orthodontic dentistry focuses on correcting misaligned teeth and jaws through braces, aligners, and other advanced techniques. It not only improves the appearance of your smile but also enhances your bite, speech, and overall oral health.
Straight teeth are easier to clean and less prone to decay or gum disease, making orthodontic treatment a long-term investment in both aesthetics and health.
Advantages :
- Corrects Crooked, Crowded, or Gapped Teeth
- Improves Bite and Jaw Alignment
- Boosts Confidence with a Straighter Smile
- Reduces Risk of Cavities and Gum Disease
- Options Include Braces, Aligners, and Invisible Systems


Other service
Opening Hours
- Monday
- 2.00 PM – 8.00 PM
- Tuesday
- 2.00 PM – 8.00 PM
- Wednesday
- 2.00 PM – 8.00 PM
- Thursday
- 2.00 PM – 8.00 PM
- Friday
- 2.00 PM – 8.00 PM
- Saturday
- 2.00 PM – 8.00 PM
- Sunday
- By Appointment
Why Choose Us
Why Choose DEV Dental Care in Ahmedabad – Expert Solutions for Your Perfect Smile
Our clinic is equipped with cutting-edge technology to deliver effective and efficient treatments. Whether you need a routine checkup, orthodontic care, dental implants, or smile enhancements, we provide expert solutions for all your dental concerns.
Dr. Alap Shah, with extensive experience in treating complex dental issues, ensures the highest quality care for all patients.
From clear aligners to dental implants, we use the latest techniques to offer non-invasive, effective solutions.
We take pride in offering personalized dental treatments that focus on the unique needs of each individual.
Our clinic is designed to provide a welcoming, relaxed atmosphere where you can receive dental care with peace of mind.
Lets Take Care Of Your Smile
Enhance your confidence with expert dental care for a brighter, healthier smile.
Consultation
Book a consultation to explore your treatment options with Dr. Alap Shad.
Need Help?
Our team is ready to assist with any questions or concerns.
Flexible Payment Plans
Explore flexible payment options to suit your budget.
Patient Testimonials & Reviews
ANUMITA KHARETrustindex verifies that the original source of the review is Google. I got my treatment done here and was very much satisfied with the informative process by Dr Alap and his team. niraj gandhiTrustindex verifies that the original source of the review is Google. Recently got dental treatment of my mother, aged 77 years. which lasted six months. Humble Doctor & nice Clinic.wel mannered & friendly staff. Ample space,good equipments and nice ambience hence happy patients.Very good experience!! Aditya ChhabriaTrustindex verifies that the original source of the review is Google. Effective treatment with needful solutions JAINEEL SasTrustindex verifies that the original source of the review is Google. It was a very great experience and was completely satisfied. Great staff and has advanced equipments. Mauli ShahTrustindex verifies that the original source of the review is Google. I went to Dev Dental Care for my annual check up when I was visiting India. Dr. Alap and Dr. Aditi provided me a genuine treatment plan and their advice has helped me with my problem. Montu ThakerTrustindex verifies that the original source of the review is Google. I have on going braces treatment for my son 13 years old, treated well for last 14 months, very well managed, professional & expert doctors. I would recommend Dr alap shah for dental related issues.